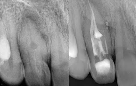
Przypadek 1.
Pacjentka zgłosiła się celem kontynuacji leczenia kanałowego, rozpoczętego w innym gabinecie.
W badaniu wewnątrzustnym stwierdzono nietypową budowe korony zęba, a dzięki pogłębionej diagnostyce rentgenowskiej potwierdzono rozpoznanie. W powiększeniu mikroskopu zbiegowego oraz przy użyciu najnowocześniejszych narzędzi rotacyjnych uwidoczniono i opracowano wszystkie kanały, które następnie zostały wypełnione termicznie uplastycznioną gutaperką.

Kontrola rentgenowska potwierdziła prawidłowy przebieg leczenia kanałowego.
Przypadek 2.
Pacjent zgłosił się celem leczenia protetycznego. Badanie wewnątrzustne wraz z diagnostyką rentgenowską ujawniły duże potrzeby stomatologiczne pacjenta i konieczność przygotowania do leczenia protetycznego. Przeprowadzono esktrakcje oraz leczenie zachowawcze, dzieki któremu mocno zniszczone zeby z próchnicą oraz nieszczelnymi wypełnieniami zostały odbudowane, odzyskując swój pierwotny kształt, kolor i funkcję.
W dalszej kolejności przeprowadzono leczenie protetyczne.

Przypadek 3.
Pacjentka zgłosiła się celem poprawy estetyki uśmiechu, jej zdaniem przednie zęby były nierówne, krótkie oraz miały ostre brzegi.
W badaniu wewnątrzustnym stwierdzono uogólnione starcie zębów, a dalsza diagnostyka i wywiad potwierdziły pierwotną diagnozę: bruksizm.
Przeprowadzono kompleksowe leczenie, dzięki któremu pacjentka wyzbyła się bruksizmu a utracone tkanki odbudowano do pierwotnego kształtu, koloru i funkcji, dzięki czemu uśmiech odzyskał dawny blask.
